Füllungen und Inlays Königswinter
Langlebige Lösungen für erkrankte Zähne
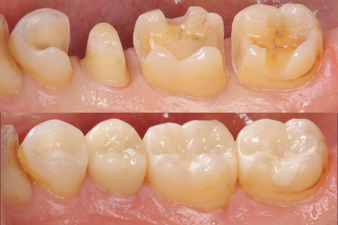
Für die Wiederherstellung von Zahnsubstanz bei der Kariestherapie oder nach einer Wurzelkanalbehandlung stehen in der Königswinterner Zahnarztpraxis verschiedene Werkstoffe zur Verfügung, die abhängig von der Art und Stärke der Erkrankung zum Einsatz kommen und als Füllungen oder Inlays genutzt werden können.
Plastisches und starres Füllmaterial für Zähne
Bei kleineren bis mittleren Kariesschäden wird eine plastische Füllung in den Zahn eingebracht, die dann langsam aushärtet. Nicht nur im Hinblick auf Haltbarkeit und Ästhetik unterscheiden sich diese Füllmaterialien, auch Herstellungsaufwand und Verträglichkeit können sehr verschieden sein.
Bei größeren Schädigungen der Zahnsubstanz verwenden Zahnarzt Med. dent. Ucke und Zahnärztin Marten aus Königswinter meist starre Füllungen. Auch hier stehen verschiedene Füllmaterialien, wie Keramik, Gold oder Kunststoffe zur Verfügung, die in den Zahn eingebracht werden, um Funktion und Ästhetik wiederherzustellen und um ein weiteres Fortschreiten des Kariesbefalls zu stoppen.

Sie haben Fragen zu unseren Behandlungen? Dann nehmen Sie unverbindlich mit uns Kontakt auf.
Wir freuen uns auf Ihre Anfrage.
Welches Füllmaterial kommt für Sie in Frage?
Bei einer Kontrolluntersuchung beraten wir Sie selbstverständlich gern, welches Füllmaterial für Sie das Beste ist. Vereinbaren Sie hierzu einfach unter 0 22 23 / 2 45 44 oder per E-Mail: info@caesardent.de einen Termin in unserer Zahnarztpraxis. Wir helfen Ihnen gern weiter.
Qualitativ hochwertiger Zahnersatz ist eine Investition in Gesundheit und Zukunft.
Selbstverständlich bieten wir Ihnen über unsere Abrechnungsgesellschaft Teilzahlungsmöglichkeiten
schon ab 50,-€ im Monat an, bei einem Zahlungsziel in 4 Monaten sogar zinslos.
